Velmeni Ai

FDA-Cleared to Analyze Panoramic, Bitewing, and Periapical X-Rays | Quality care to a Billion underserved people around the world

Bring Your
X-Rays to Life

The Only Complete AI Platform for Voice & VR
AI Medical Imaging
Streamline Treatment Planning
Boost Detection Accuracy by 30%
Quickly Process & Segment CBCT Images (*Velmeni for CBCT is undergoing FDA clearance)
AI & Human Synergy in Dentistry

VELMENI One

VELMENI One is the dental industry’s only unified AI platform integrating 2D and 3D imaging, claims automation, and voice capabilities — all in one place.

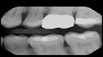
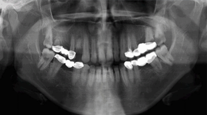
VELMENI for Dentists® 2D

VELMENI is as easy to use as it is powerful. Scan 2D radiographs to increase detection accuracy by 30%. FDA cleared for 2D Panoramic, Bitewing and Periapical X-Rays.

VELMENI for Dentists® 3D

Create 3D realizations of 3D/CBCT scans in minutes. Reveal nerves, sinuses, TMJ, airways, and important anatomical features for medical detections, treatment planning, and patient education.

Image 3

VELMENI Voice®

Hands-free perio charting and clinical note-taking with multilingual voice transcription — empowering hygiene teams with faster, more accurate documentation.

3D Verify®

VELMENI 3D Verify is the first AI imaging solution that validates CBCT scans in real-time. Automatically checks 60+ anatomical landmarks in real time while the patient is still in the chair — reducing recalls and saving time, money, and frustration.

Image 4
Image 5

VELMENI for Claims®

No more log jams! Validate claims in seconds. AI approves claims that meets the plan criteria and sends the rejected claims for clinical review.

EasyRiter®

VELMENI EasyRiter—a web-based decision support system that simplifies CBCT interpretation and makes it easy to generate detailed anatomical reports. EasyRiter® generates CBCT radiology reports. And, unlike other reporting systems, EasyRiter® is also a decision support tool. If the dentist is unsure about a finding, “pop-up” hyperlinks reveal examples and descriptions of anomalies and/or pathologic lesions.

Image 6
Image 7

Experience 3D VR Dentistry

Jump from the screen into the scene with VELMENI’s immersive VR. Manipulate and evaluate 3D/CBCT imagery like never before and using VR to experience the newest frontier in patient education.

Integrations

VELMENI AI For Everyone

What Makes VELMENI AI Different

Enjoy accurate analysis of X-Rays in just seconds

Harness VELMENI’s top-of-class dental AI for your patients

Breeze through scans, detection, and reports with VELMENI’s intuitive screens and functions

Discover difficult-to-detect dental problems before they become serious

Save time, see more patients, and grow your practice!

Submit VELMENI’s data-driven findings to receive fewer rejected claims