Ai powered Radiodignosis

Small Image

Boost MRI Revenue Without
Compromising Quality

Contact Us
Small Image

* Registered under Act 737, MDA Reg. No. GB3605423-133302

** Professional use only

Bootstrap 5 Tabs + Carousel

* For investigational purposes in countries outside of the United States, South Korea, Canada, Brazil, Japan, Taiwan, Malaysia, Saudi Arabia, UAE, Thailand, Vietnam, and Indonesia. FDA 510(k)-cleared to support images with scan time reduction by up to 50% in the United States.

 Image

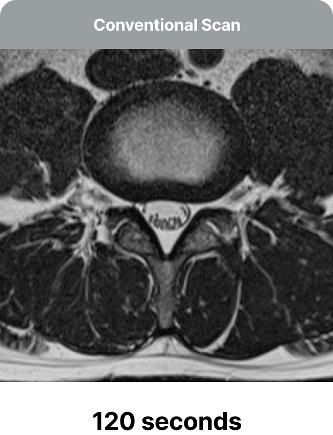
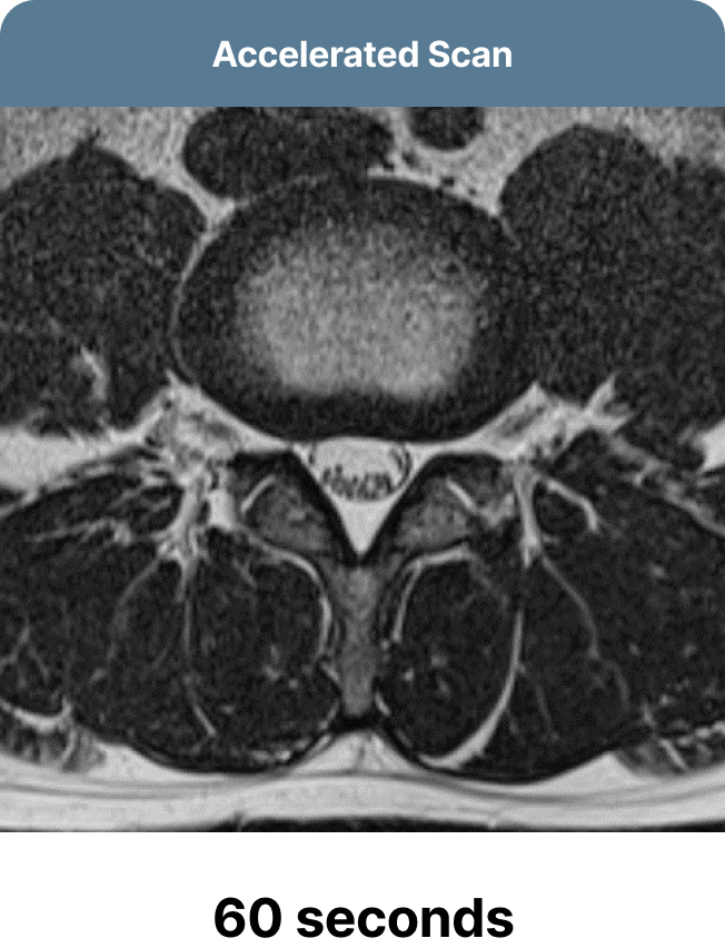
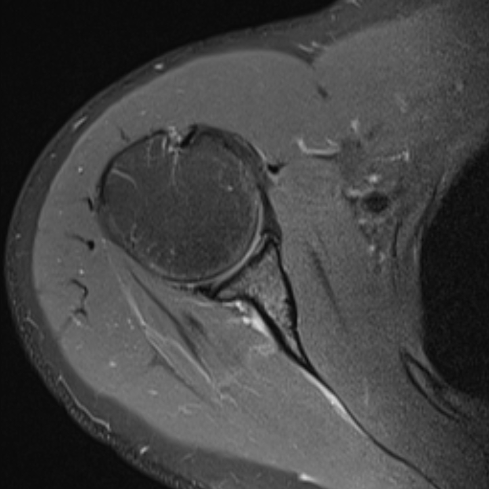
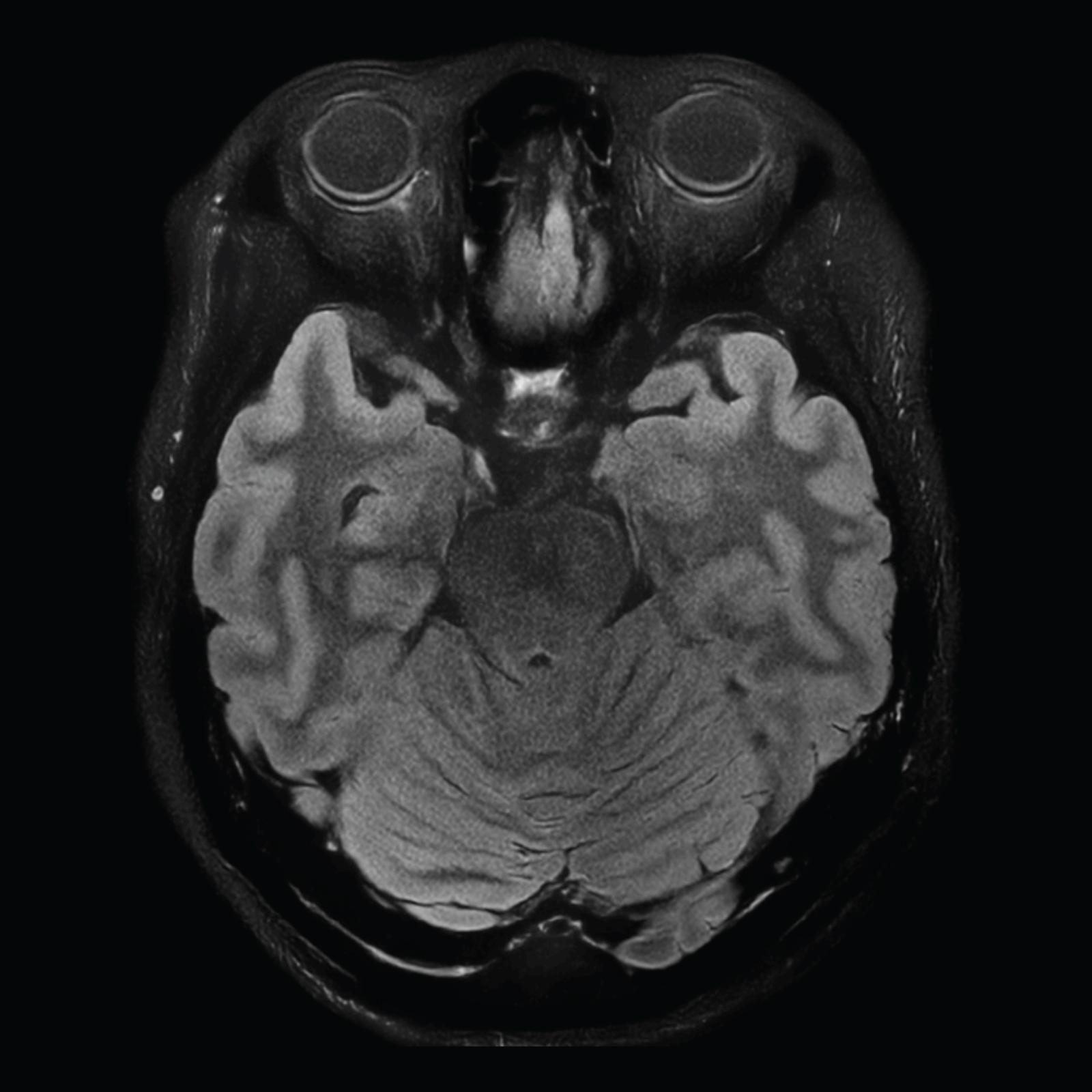
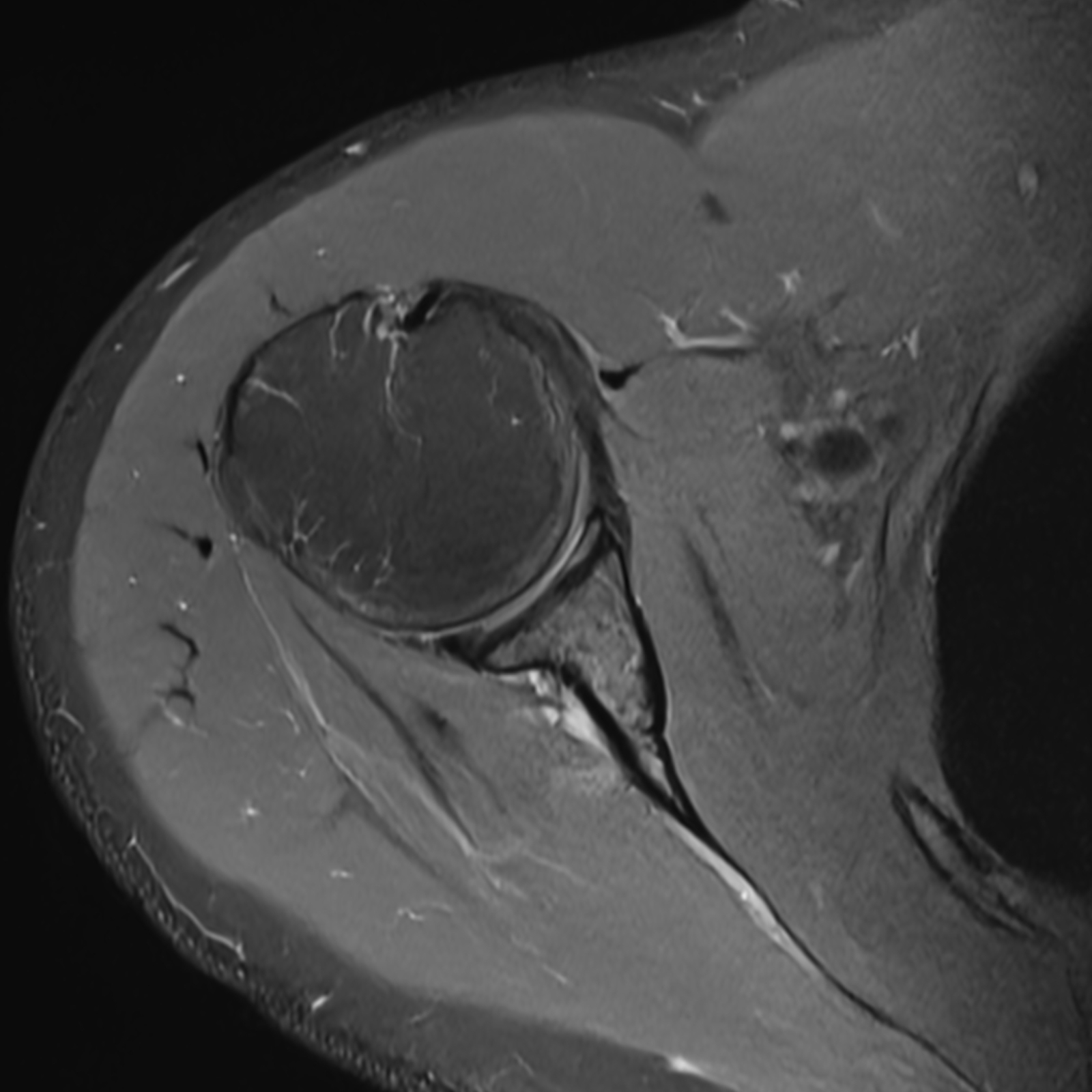
Faster scans. Improved quality. Higher revenue.

Astler Imaging is a deep learning–powered solution designed to significantly reduce MRI scan times, improving patient comfort while maintaining exceptional image clarity. By accelerating the scanning process, it helps radiology centers boost productivity and efficiency — enabling higher patient throughput and unlocking new opportunities for revenue and growth.

Revive Your Legacy Scanners

Are your MRI systems approaching end of life? Before investing millions in new equipment, consider Astler Imaging. It seamlessly integrates with any existing MRI machine—no software or hardware upgrades required.

As an independent third-party solution, Astler Imaging is compatible with any vendor, model, or system age, enabling older scanners to deliver exceptional image quality and faster scan times.

*Supported MRI manufacturers may vary by country.

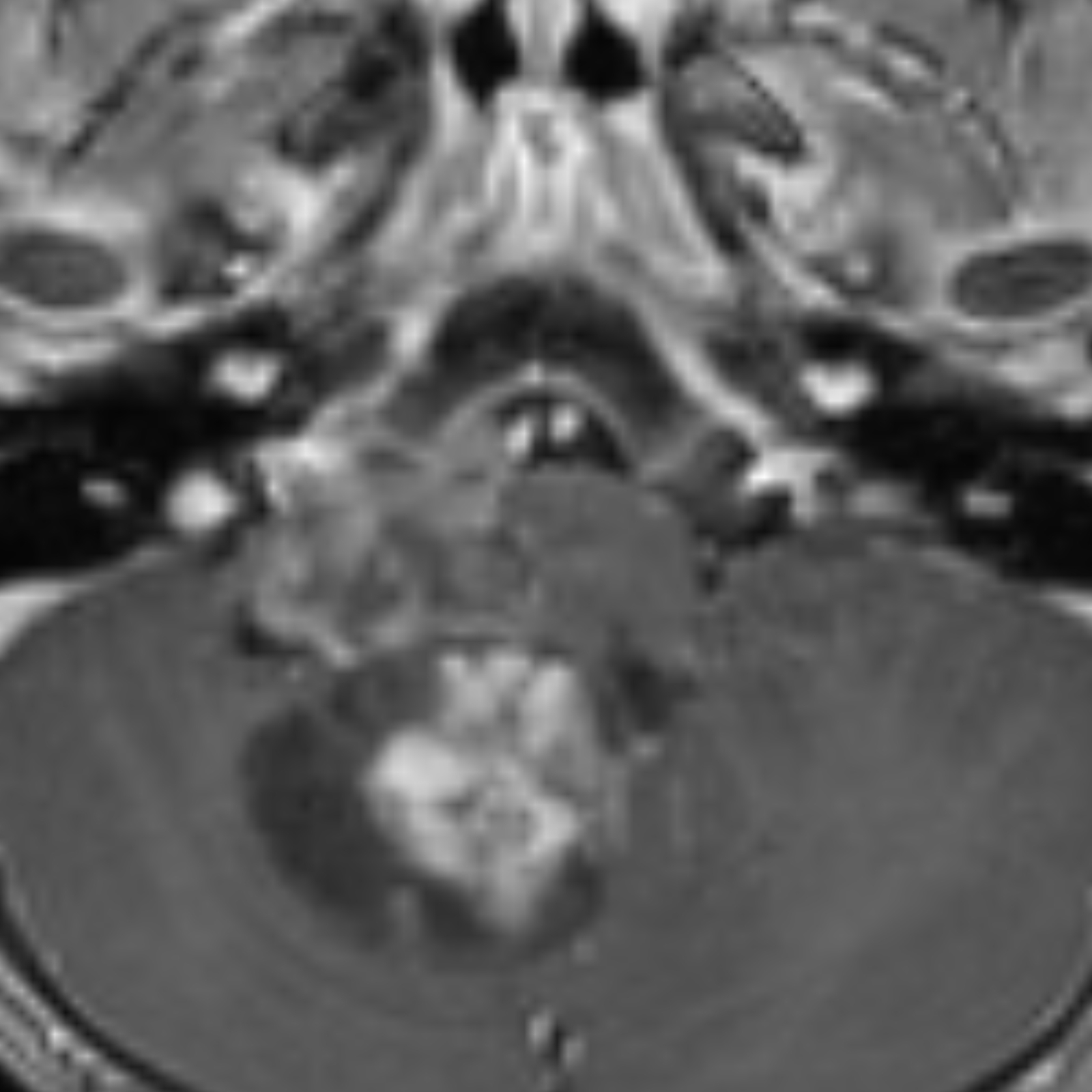
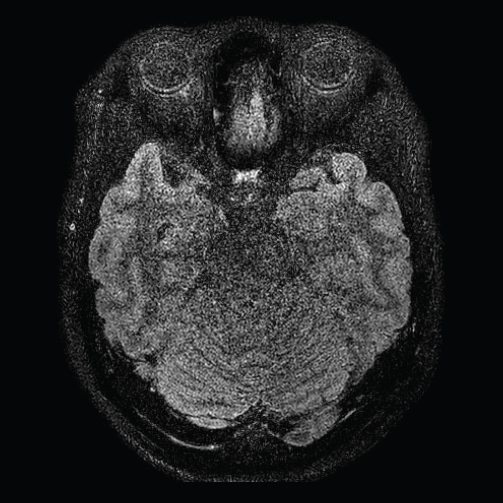
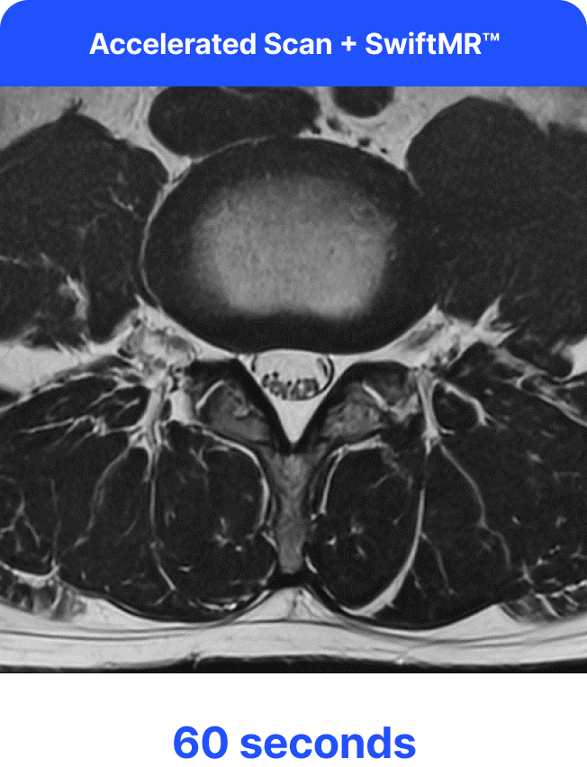
How Astler Imaging Works

Our team fine-tunes your MRI protocols to shorten scan times, which initially produces faster but lower-quality images. Astler Imaging's deep learning technology then enhances these accelerated scans, elevating them into high-quality diagnostic images.

Protocol Optimization
Accelerated Scan
Enhanced Quality
FAQ Modern

Frequently Asked Questions

The choice between k-space and DICOM-based reconstruction depends on the imaging center's goals and technical capabilities. K-space reconstruction delivers greater flexibility and potentially higher image quality but requires significant computational resources. DICOM-based reconstruction is better suited for routine clinical use, focusing on ease of operation and workflow compatibility.
Astler Imaging is available as an AWS-powered cloud solution as well as an on-premise deployment. We typically recommend the cloud option because it enables faster issue resolution and effortless updates, and many customers choose it to receive the latest enhancements. However, if your institution’s security policies limit external network access, the on-premise deployment serves as a practical alternative. Note: Availability of the on-premise option may differ by country.
For basic 2D scans, processing is completed within a few seconds. More complex 3D scans generally take about a minute. Processing times can vary depending on the institution’s internet speed, but on average, all reconstructed images are delivered within 90 seconds.
Yes, Astler Imaging works with scanners from various manufacturers, provided they support the DICOM format. Our solution processes all images using the DICOM protocol. Note: The range of supported MR devices may vary based on regional regulatory approvals.
Yes, Astler Imaging is designed to improve the performance of older MRI machines, including models that are 25–30 years old. Many customers with legacy MR equipment have reported excellent results and are highly satisfied with the solution.
Yes, Astler Imaging can be used solely to enhance image quality without altering scan times. Some customers use it specifically for this purpose, achieving improved image clarity and detail while keeping their existing scan durations unchanged.
The installation of Astler Imaging is conducted on-site by a Customer Success Manager over two days:
  • Day 1: Installation of the gateway PC and configuration of the Astler Imaging protocols.
  • Day 2: User training and system monitoring.
The gateway PC will be provided by the Customer Success Manager for each site.