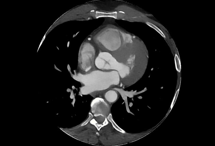
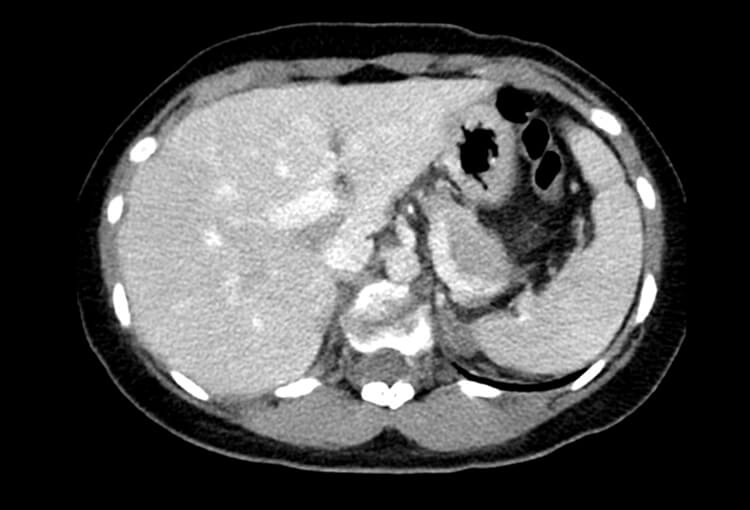
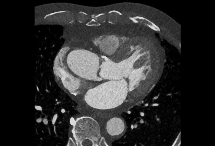
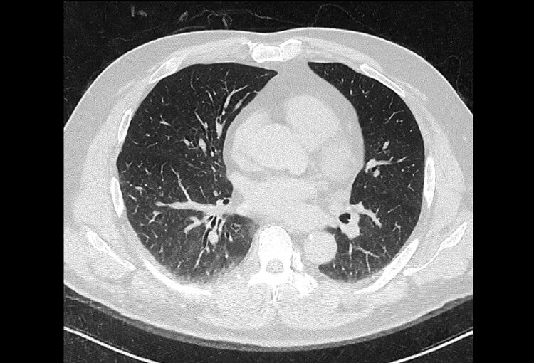
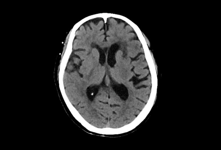
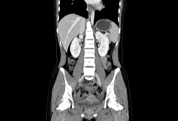
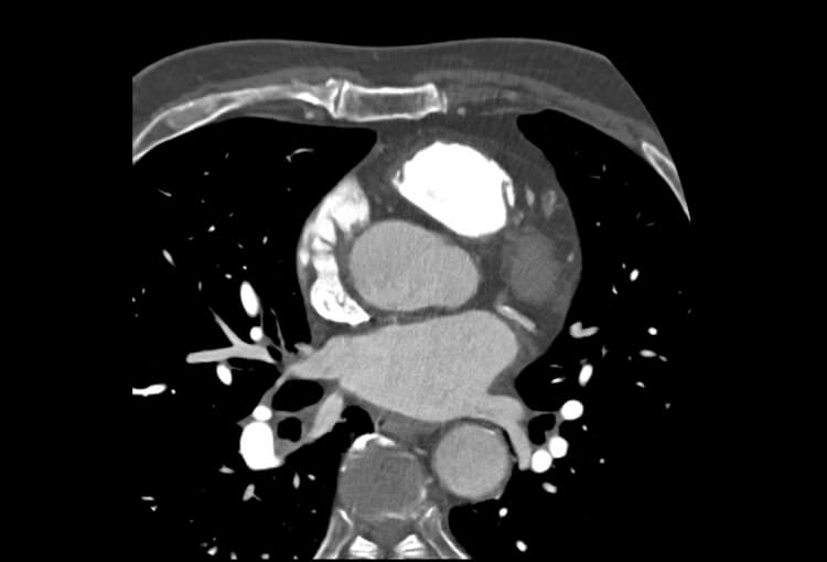
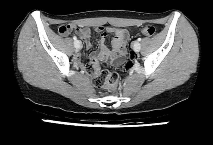
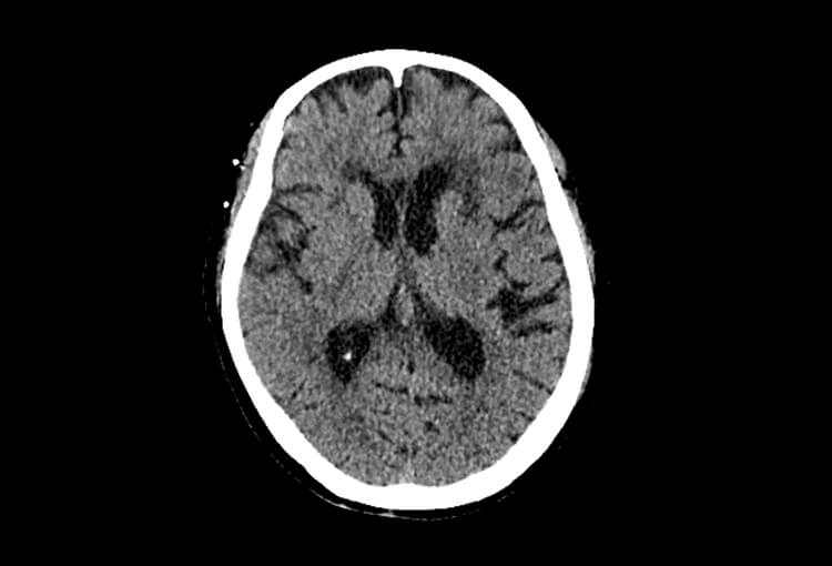
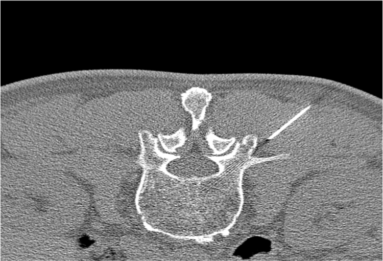
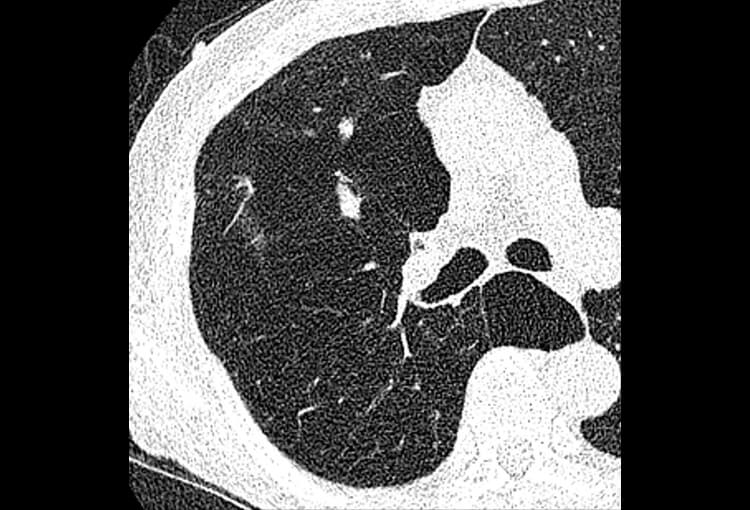
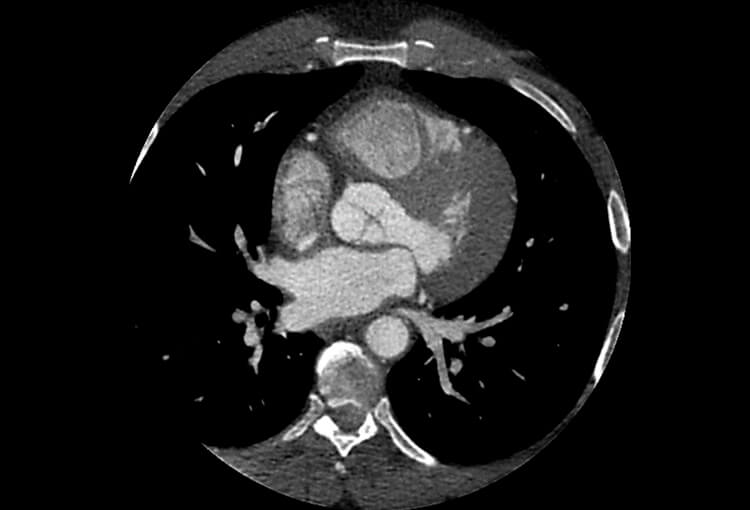
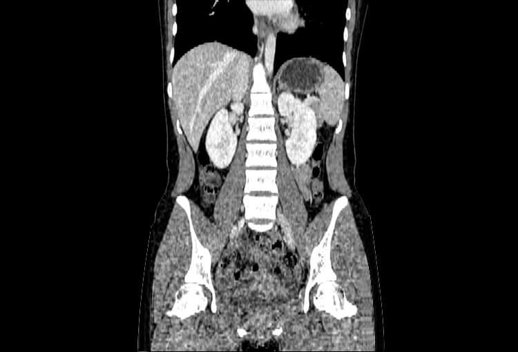
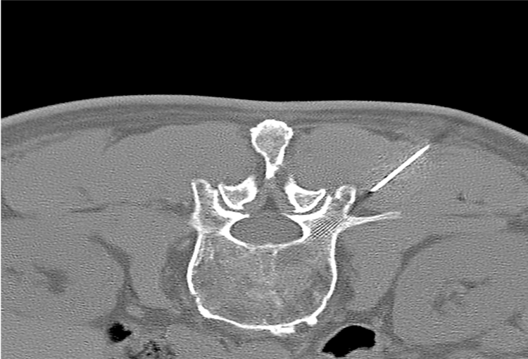
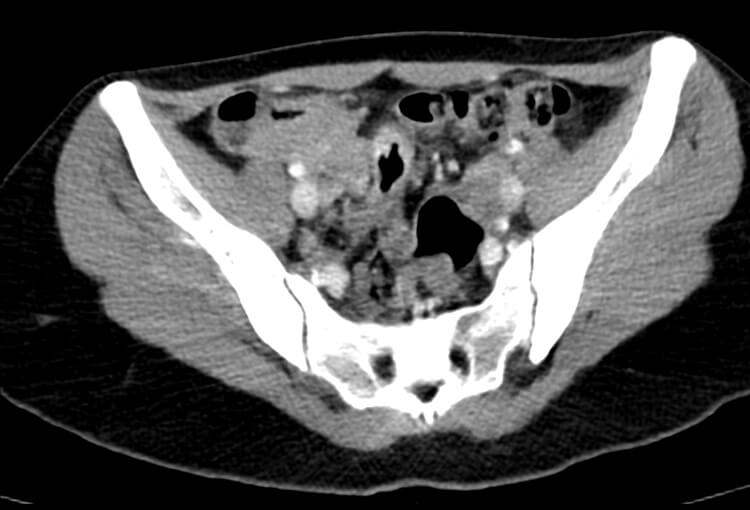
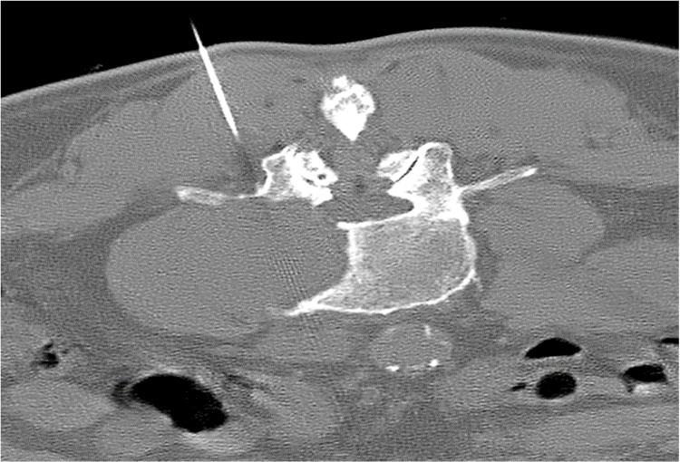
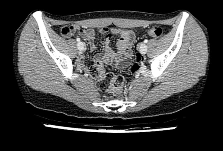
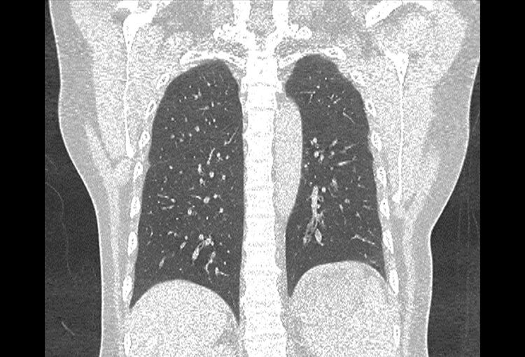
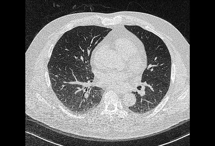
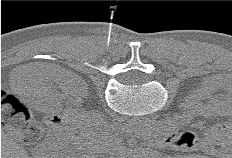
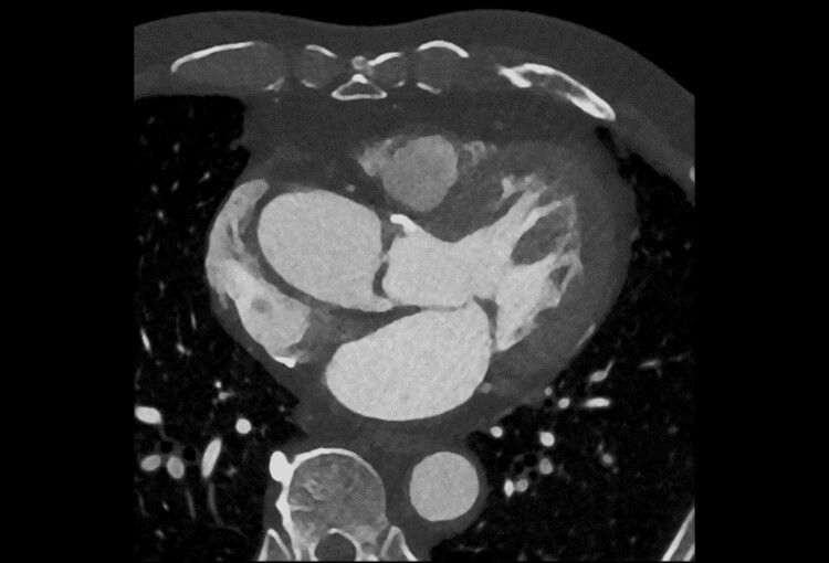
Before and After Denoising
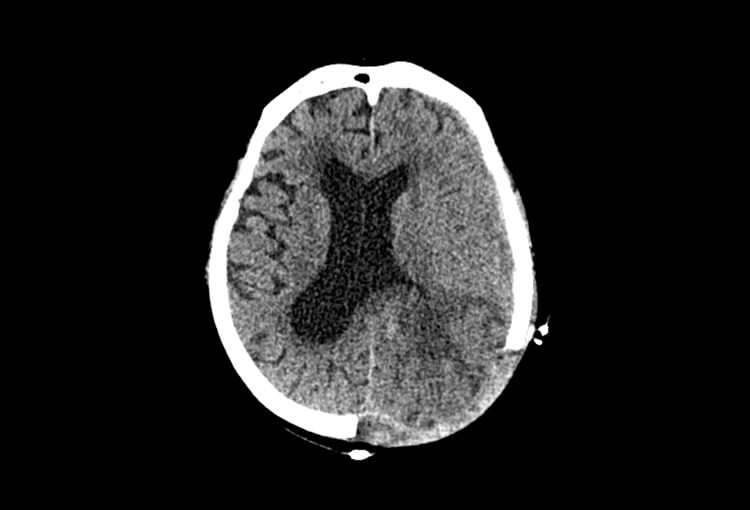
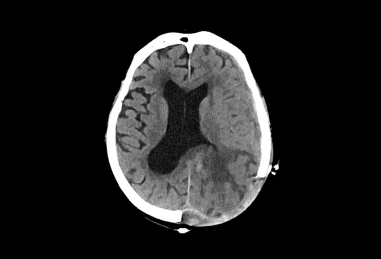
120 kV / 30 mAs / 1mm
Before FBP (Noise 150) VS After ClariCT.AI (Noise 49) 67% Denoising
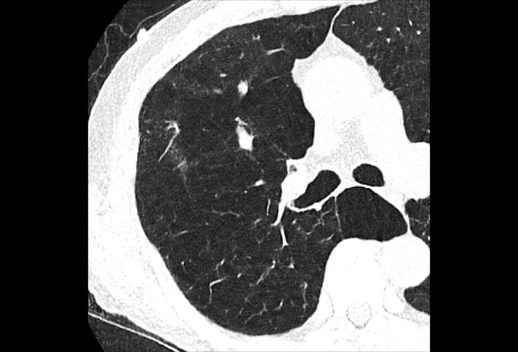
120 kV / 20 mAs / 1 mm
Before FBP (Noise 189) VS After ClariCT.AI (Noise 46) 76% Denoising
